当院の症例|青葉区あざみ野の歯科・矯正歯科|ライトハウスデンタルクリニック

〒227-0055 横浜市青葉区つつじが丘36-10-2F
045-985-5505
問診票ダウンロード
Instagram WEB予約
ヘッダー画像

当院の症例

当院の症例|青葉区あざみ野の歯科・矯正歯科|ライトハウスデンタルクリニック

※下記に記載されている費用は全て税込みです。

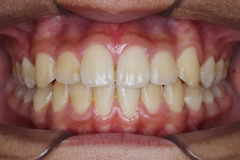
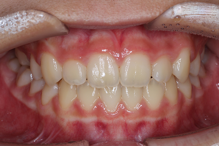
子どもの矯正治療例

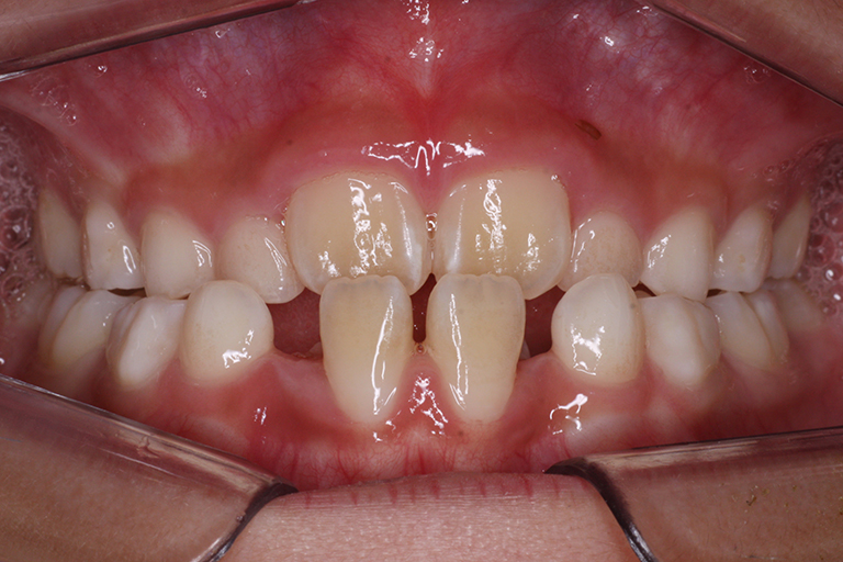
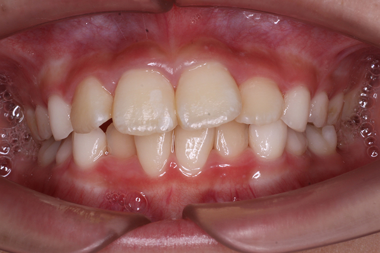
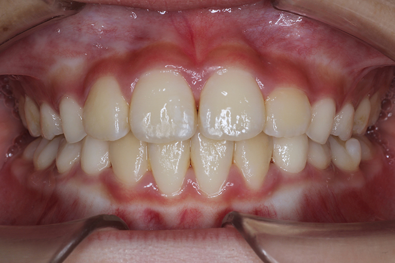
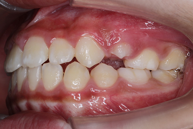
ケース1

術前

子どもの矯正治療例
子どもの矯正治療例
子どもの矯正治療例

術後

子どもの矯正治療例
子どもの矯正治療例
子どもの矯正治療例
年代・性別 8才 女児
主訴 歯を抜かず矯正したい
治療期間 約1年6ヶ月
費用
  • 矯正相談:3,300円
  • 診査費用:27,500円
  • 治療計画説明:16,500円
  • 装置および基本施術料金:407,000円
  • 処置料金(1回):6,600円
リスクや副作用
  • 1日1時間および就寝時装着。使用頻度により治療期間・治療効果に影響があります。
  • お口の体操は1日5分程度。
  • 歯根吸収や顎関節症のリスクがあります。
  • 矯正治療前に歯周病検査と虫歯検査治療を強く推奨します。
  • 治療後も効果を持続させるため定期的なチェックが必要です。

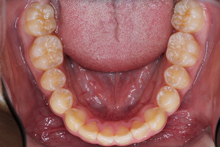
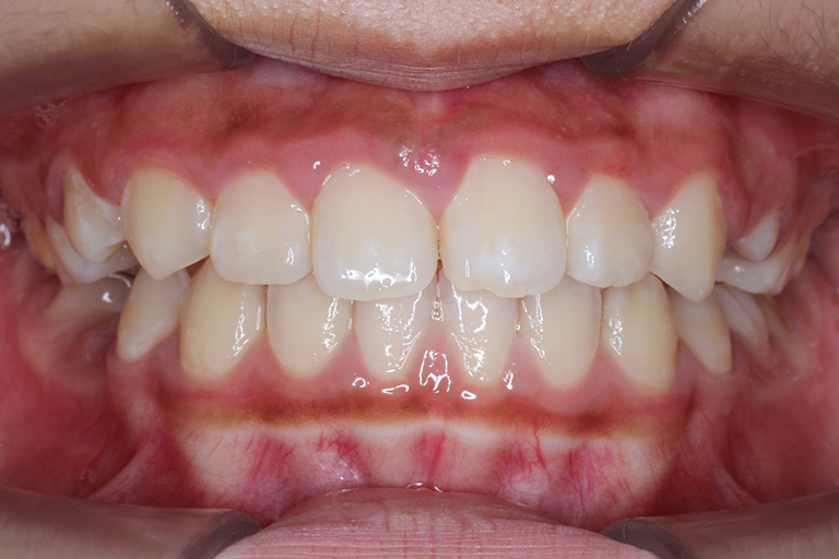
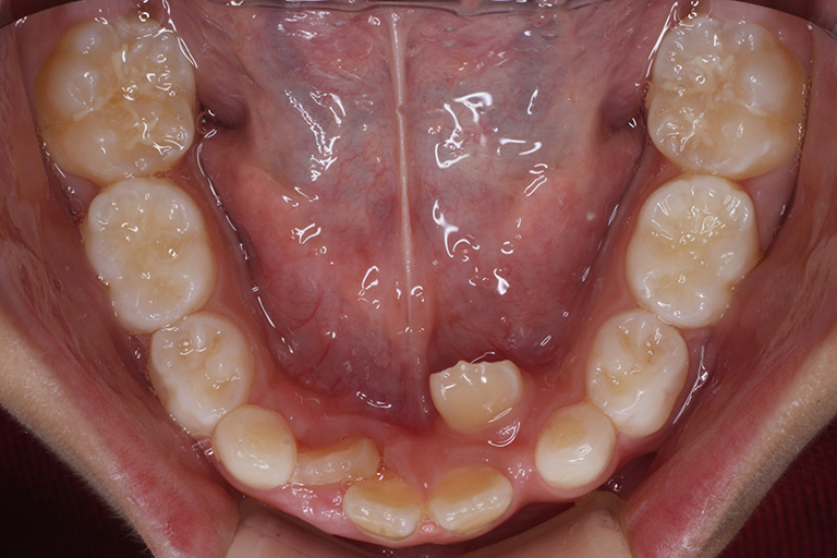
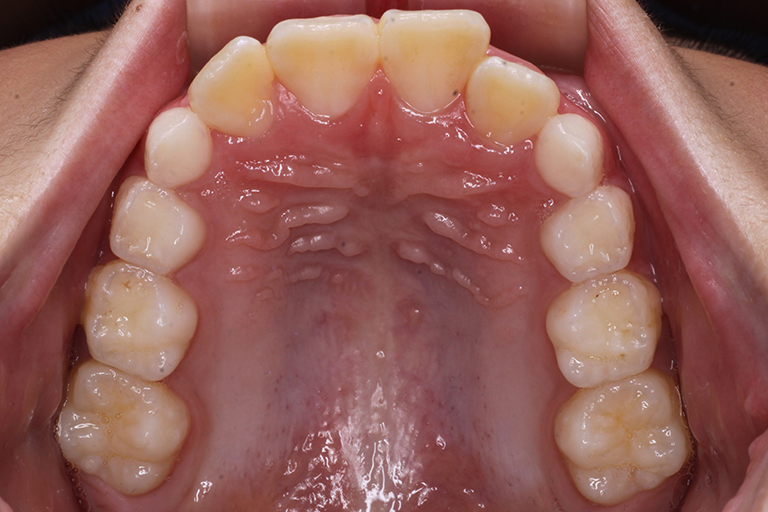
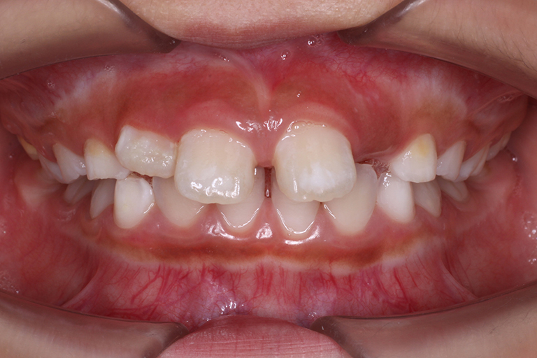
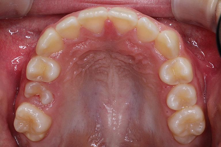
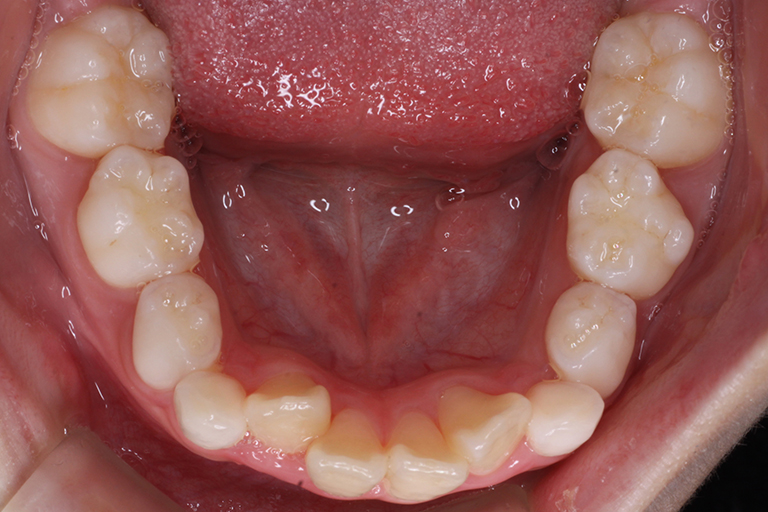
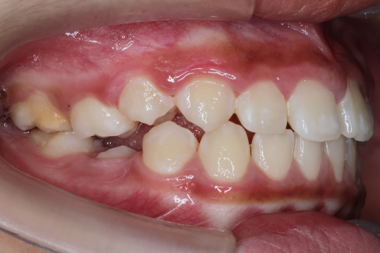
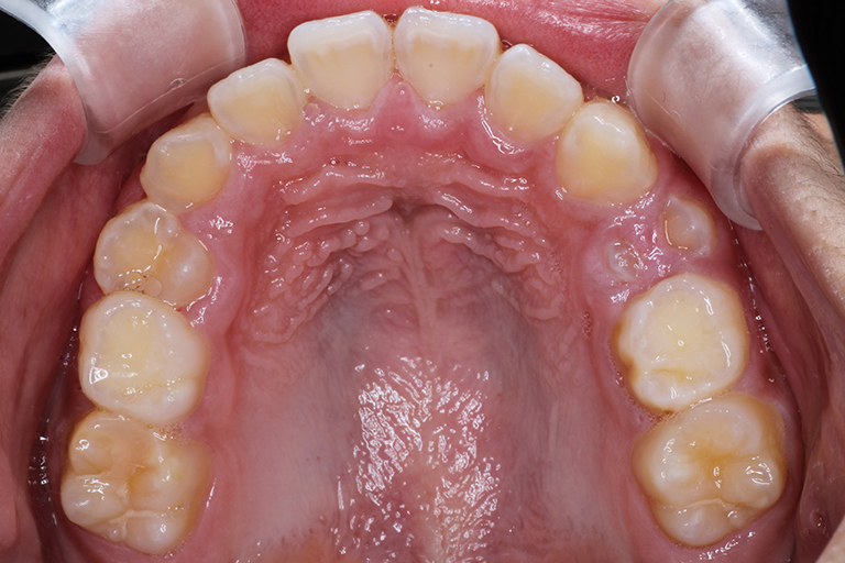
ケース2

術前

子どもの矯正治療例
術前:前面
子どもの矯正治療例
術前:側面
子どもの矯正治療例
術前:上側
子どもの矯正治療例
術前:下側

術後

子どもの矯正治療例
術後:前面
子どもの矯正治療例
術後:側面
子どもの矯正治療例
術後:上側
子どもの矯正治療例
術後:下側
年代・性別 8歳 女児
主訴 八の字にねじれた前歯が気になる
治療期間 約2年10ヶ月
費用
  • 矯正相談:3,300円
  • 診査費用:27,500円
  • 治療計画説明:16,500円
  • 装置および基本施術料金:330,000円
  • 処置料金(1回):6,600円
リスクや副作用
  • 1日1時間および就寝時装着。使用頻度により治療期間・治療効果に影響があります。
  • お口の体操は1日5分程度。
  • 歯根吸収や顎関節症のリスクがあります。
  • 矯正治療前に歯周病検査と虫歯検査治療を強く推奨します。
  • 治療後も効果を持続させるため定期的なチェックが必要です。

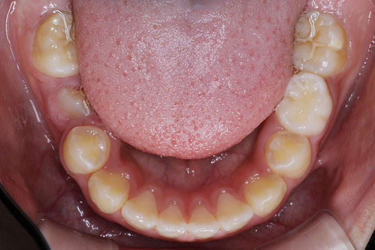
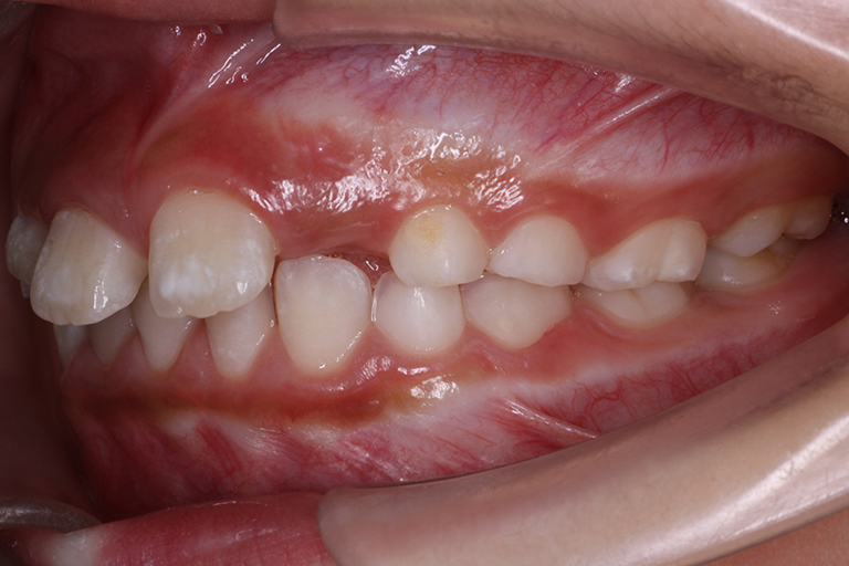
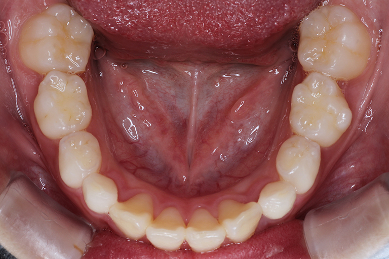
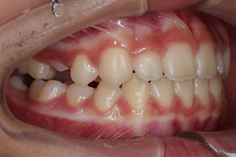
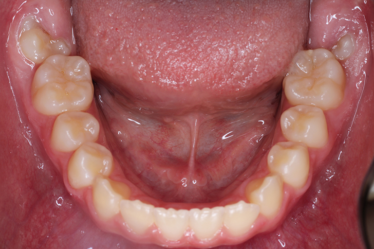
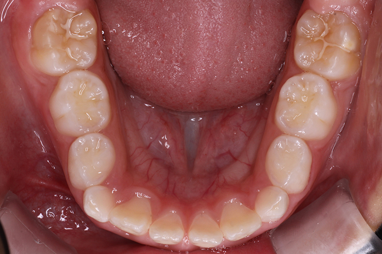
ケース3

術前

子どもの矯正治療例
子どもの矯正治療例

術後

子どもの矯正治療例
子どもの矯正治療例
年代・性別 10歳 女児
主訴 受け口が気になる
治療期間 約2年9ヶ月
費用
  • 矯正相談:3,300円
  • 診査費用:27,500円
  • 治療計画説明:16,500円
  • 装置および基本施術料金:385,000円
  • 処置料金(1回):6,600円
リスクや副作用
  • 1日1時間および就寝時装着。使用頻度により治療期間・治療効果に影響があります。
  • お口の体操は1日5分程度。
  • 歯根吸収や顎関節症のリスクがあります。
  • 矯正治療前に歯周病検査と虫歯検査治療を強く推奨します。
  • 治療後も効果を持続させるため定期的なチェックが必要です。

ケース4

術前

子どもの矯正治療例
子どもの矯正治療例
子どもの矯正治療例

術後

子どもの矯正治療例
子どもの矯正治療例
子どもの矯正治療例
年代・性別 7歳 男児
主訴 受け口と前歯が生えてこない
治療期間 約4年0ヶ月
費用
  • 矯正相談:3,300円
  • 診査費用:27,500円
  • 治療計画説明:16,500円
  • 装置および基本施術料金:385,000円
  • 処置料金(1回):6,600円
リスクや副作用
  • 1日1時間および就寝時装着。使用頻度により治療期間・治療効果に影響があります。
  • お口の体操は1日5分程度。
  • 歯根吸収や顎関節症のリスクがあります。
  • 矯正治療前に歯周病検査と虫歯検査治療を強く推奨します。
  • 治療後も効果を持続させるため定期的なチェックが必要です。

ケース5

術前

子どもの矯正治療例
子どもの矯正治療例
子どもの矯正治療例

術後

子どもの矯正治療例
子どもの矯正治療例
子どもの矯正治療例
年代・性別 7歳 女児
主訴 他院で歯並びについて指摘された
治療期間 約3年0ヶ月
費用
  • 矯正相談:3,300円
  • 診査費用:27,500円
  • 治療計画説明:16,500円
  • 装置および基本施術料金:352,000円
  • 処置料金(1回):6,600円
リスクや副作用
  • 1日1時間および就寝時装着。使用頻度により治療期間・治療効果に影響があります。
  • お口の体操は1日5分程度。
  • 歯根吸収や顎関節症のリスクがあります。
  • 矯正治療前に歯周病検査と虫歯検査治療を強く推奨します。
  • 治療後も効果を持続させるため定期的なチェックが必要です。

ケース6

術前

子どもの矯正治療例
子どもの矯正治療例

術後

子どもの矯正治療例
子どもの矯正治療例
年代・性別 7歳 男児
主訴 歯が無いかもしれないので診てほしい
治療期間 約3年6ヶ月
費用
  • 矯正相談:3,300円
  • 診査費用:27,500円
  • 治療計画説明:16,500円
  • 装置および基本施術料金:363,000円
  • 処置料金(1回):6,600円
リスクや副作用
  • 1日1時間および就寝時装着。使用頻度により治療期間・治療効果に影響があります。
  • お口の体操は1日5分程度。
  • 歯根吸収や顎関節症のリスクがあります。
  • 矯正治療前に歯周病検査と虫歯検査治療を強く推奨します。
  • 治療後も効果を持続させるため定期的なチェックが必要です。

ケース7

術前

子どもの矯正治療例
子どもの矯正治療例

術後

子どもの矯正治療例
子どもの矯正治療例
子どもの矯正治療例
子どもの矯正治療例
年代・性別 5歳 女児
主訴 幼稚園で虫歯があると言われた(検診希望)
治療期間 約5年0ヶ月
費用
  • 矯正相談:3,300円
  • 診査費用:27,500円
  • 治療計画説明:16,500円
  • 装置および基本施術料金:363,000円
  • 処置料金(1回):6,600円
リスクや副作用
  • 1日1時間および就寝時装着。使用頻度により治療期間・治療効果に影響があります。
  • お口の体操は1日5分程度。
  • 歯根吸収や顎関節症のリスクがあります。
  • 矯正治療前に歯周病検査と虫歯検査治療を強く推奨します。
  • 治療後も効果を持続させるため定期的なチェックが必要です。

ケース8

術前

子どもの矯正治療例
子どもの矯正治療例
子どもの矯正治療例
子どもの矯正治療例
子どもの矯正治療例

術後

子どもの矯正治療例
子どもの矯正治療例
子どもの矯正治療例
子どもの矯正治療例
子どもの矯正治療例
年代・性別 7歳 女児
主訴 歯の隙間、斜めに生えてきて気になる
治療期間 約3年0ヶ月
費用
  • 矯正相談:3,300円
  • 診査費用:27,500円
  • 治療計画説明:16,500円
  • 装置および基本施術料金:363,000円
  • 処置料金(1回):6,600円
リスクや副作用
  • 1日1時間および就寝時装着。使用頻度により治療期間・治療効果に影響があります。
  • お口の体操は1日5分程度。
  • 歯根吸収や顎関節症のリスクがあります。
  • 矯正治療前に歯周病検査と虫歯検査治療を強く推奨します。
  • 治療後も効果を持続させるため定期的なチェックが必要です。

大人の矯正治療例

ケース1

術前

大人の矯正治療例
大人の矯正治療例
大人の矯正治療例

術後

大人の矯正治療例
大人の矯正治療例
大人の矯正治療例
年代・性別 50代 女性
主訴 上の歯の隙間、下の前歯ガタガタが気になる
治療内容 マウスピース矯正(インビザラインGO)
治療期間 約7ヶ月
費用
  • 矯正相談:3,300円
  • 診査費用:27,500円
  • 治療計画説明:16,500円
  • 装置および基本施術料金:495,000円
  • 処置料金(1回):6,600円
  • 補綴装置料金:13,200円
リスクや副作用
  • 1日20時間以上装着推奨。使用頻度により治療期間・治療効果に影響があります。
  • 矯正後は必ず保定が必要となります。
  • 歯根吸収や顎関節症のリスクがあります。
  • 矯正治療前に歯周病検査と虫歯検査治療を強く推奨します。
  • 治療後も効果を持続させるため定期的なチェックが必要です。

ケース2

術前

大人の矯正治療例
大人の矯正治療例
大人の矯正治療例

術後

大人の矯正治療例
大人の矯正治療例
大人の矯正治療例
年代・性別 10代 女性
主訴 上の八重歯と下の歯のガタガタが気になる
治療内容 マウスピース矯正(インビザラインGO)
治療期間 約11ヶ月
費用
  • 矯正相談:3,300円
  • 診査費用:27,500円
  • 治療計画説明:16,500円
  • 装置および基本施術料金:495,000円
  • 処置料金(1回):6,600円
  • 補綴装置料金:13,200円
リスクや副作用
  • 1日20時間以上装着推奨。使用頻度により治療期間・治療効果に影響があります。
  • 矯正後は必ず保定が必要となります。
  • 歯根吸収や顎関節症のリスクがあります。
  • 矯正治療前に歯周病検査と虫歯検査治療を強く推奨します。
  • 治療後も効果を持続させるため定期的なチェックが必要です。

ケース3

術前

大人の矯正治療例
大人の矯正治療例
大人の矯正治療例

術後

大人の矯正治療例
大人の矯正治療例
大人の矯正治療例
年代・性別 10代 女性
主訴 前歯のガタガタが気になる。口腔周囲筋機能も改善したい。
治療内容 ブラケット矯正
治療期間 動的治療1年7ヶ月
筋機能訓練2年4ヶ月
費用
  • 矯正相談:3,300円
  • 診査費用:27,500円
  • 治療計画説明:16,500円
  • 装置および基本施術料金:660,000円
  • 処置料金(1回):6,600円
  • 筋機能訓練(1回):6,600円
  • 補綴装置料金:13,200円
リスクや副作用
  • ブラケット周囲は虫歯リスクが高まりますので日々のブラッシングが重要です。
  • 筋機能訓練は1日5分程度、自宅でお口の体操をしていただきます。
  • 矯正後は必ず保定が必要となります。
  • 歯根吸収や顎関節症のリスクがあります。
  • 矯正治療前に歯周病検査と虫歯検査治療を強く推奨します。
  • 治療後も効果を持続させるため定期的なチェックが必要です。
Page Top