
先日は就業時間内に時間を取りより患者様へ寄り添った歯科診療を行えるよう月一回の院内勉強会を行いました。
演者は歯科衛生士Sさんによる歯周基本治療の成果や経過の臨床発表でした。


歯周外科(歯ぐきを切って外科的に歯石を取ったりすること)を行わず、患者様と2人3脚で改善している様は
担当衛生士S(全力サポート衛生士N)はもちろん患者様自身のセルフケアの劇的向上によるものです。
今後もより良い経過が続くよう寄り添って参ります。
できる限り自分の歯で人生を楽しみたい方は是非ご相談ください。

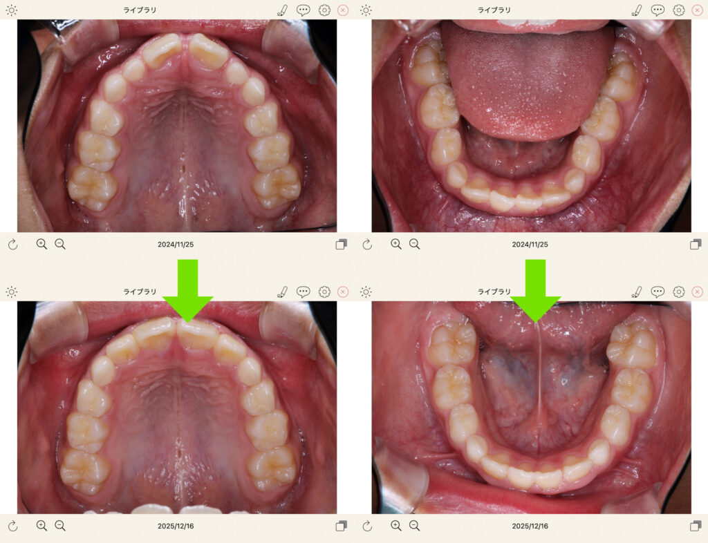
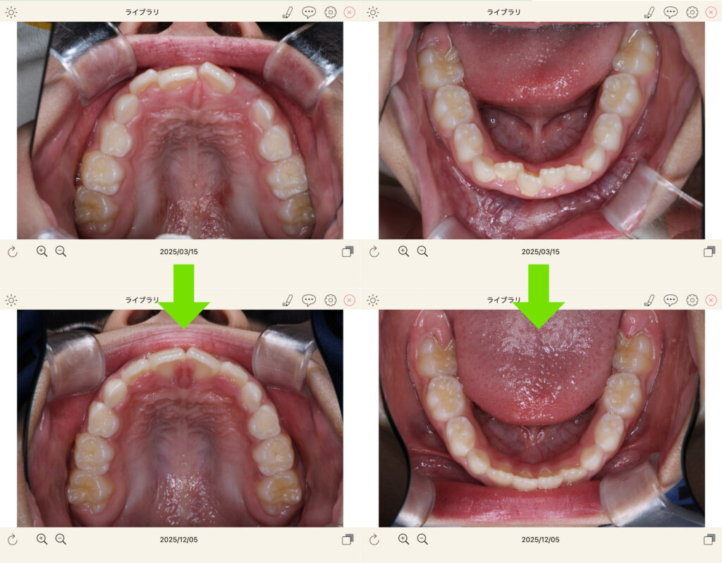
別件で小児矯正。新規開業から1年経ち、以前の中村歯科からのお子様もたくさん来院し、親戚のおじさんのように子供たちの成長が嬉しい限りです。
治療中のお子様も日々改善する歯並びに楽しく来院してくれています。
地元青葉台でもお子様のご紹介をたくさんいただきありがたく思っております。
健全な顎の成長を伴う小児矯正が当院の強みです!
歯並びだけでなくお顔の健全な成長やお口周りの機能の改善(飲み込み、口呼吸、お口ポカン)させます。
是非ご相談いただければと思います!

最後に、趣味のランニング(ジョギング)
寒くなって、外に出るのが億劫になってきました。笑
そんな時は、あったかいタイツなど防寒対策をしっかりして、室内でちょっと汗ばむぐらい体を温めてから外に出る!
が今のところの鉄則です!
あとプラスチックグローブを付けた上から手袋をすると指先が悴みづらくオススメです!(私もアスリートの方に教えていただきました)






